2 DAYS HANDS-ON LEARNING
2 days | 14 Credit Hours
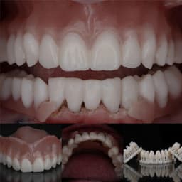
The 3D Printed Removables Foundations course is a focused 2-day program covering digital design and 3D printing workflows for removable prosthetics. Learn partial denture design, complete denture fundamentals, and finishing techniques for printed removable appliances.
$4,200
Sold out? Contact us about transfers.







$4,200
The 3D Printed Removables Foundations course is a focused 2-day program covering digital design and 3D printing workflows for removable prosthetics. Learn partial denture design, complete denture fundamentals, and finishing techniques for printed removable appliances.
Dentists looking to bring removable prosthetic production in-house using 3D printing. Ideal for those who want a solid foundation in digital denture and partial design before committing to a full mini-residency. Also open to laboratory technicians, design teams, and dental assistants.
Continuing Education
14 CE Hours • AGD PACE


Exclusive Savings
Partner hotels in Charleston with exclusive savings.
View Hotel Savings"This course has completely changed the way I perform 3D printed dentures and occlusal guards."
— Dr. Lara Thompson
Full access to online courses, Faculty Insights, Study Club, and MOD AI — plus 10% off every in-person course.
or $3,999/year · 12-month commitment
There are no pre-requisites for this course. All experience levels are welcome.
All technology for the course is provided by The MOD Institute. No previous training required.
Support
