2 DAYS HANDS-ON LEARNING
2 days | 14 Credit Hours
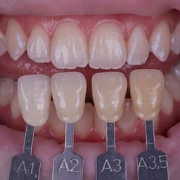
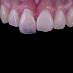
Light Made Simple is a 2-day hands-on dental photography course that demystifies clinical photography and lighting. Learn to capture stunning intraoral and portrait images for case documentation, lab communication, smile design, and patient education.
October 22 & 23, 2026
MOD East
$3,500
Team Pricing: 2-3 seats: 16% off additional seats. 4+: 25% off all seats. Applied automatically at checkout.







$3,500
Light Made Simple is a 2-day hands-on dental photography course that demystifies clinical photography and lighting. Learn to capture stunning intraoral and portrait images for case documentation, lab communication, smile design, and patient education.
Dentists and team members who want to master dental photography — from those who have never picked up a camera to experienced photographers looking to refine their clinical technique and lighting setups. Also open to laboratory technicians, design teams, and dental assistants.
Continuing Education
14 CE Hours • AGD PACE


Exclusive Savings
Partner hotels in Charleston with exclusive savings.
View Hotel Savings"I never could have imagined myself taking such stunning photographs of my cases and patients. This course simplified everything."
— Dr. Jennifer Goldman
Full access to online courses, Faculty Insights, Study Club, and MOD AI — plus 10% off every in-person course.
or $3,999/year · 12-month commitment
There are no pre-requisites for this course. All experience levels are welcome.
All technology for the course is provided by The MOD Institute. No previous training required.
Support
