5 DAYS HANDS-ON LEARNING
5 days | 50 Credit Hours
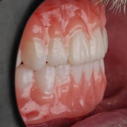
The Dentures Mini-Residency is a comprehensive 5-day program covering digital and 3D-printed denture workflows from start to finish. Learn impression techniques, digital design in exocad, tooth arrangement, advanced characterization, and delivery protocols for both complete and partial dentures.
September 7-11, 2026
MOD East
Also Includes
Team Pricing: 2-3 seats: 16% off additional seats. 4+: 25% off all seats. Applied automatically at checkout.







Included Follow-Along Kit
$12,000
The Dentures Mini-Residency is a comprehensive 5-day program covering digital and 3D-printed denture workflows from start to finish. Learn impression techniques, digital design in exocad, tooth arrangement, advanced characterization, and delivery protocols for both complete and partial dentures.
Dentists who want to modernize their denture workflow with digital design and 3D printing — from those new to removable prosthetics to experienced practitioners looking to adopt cutting-edge digital techniques. Also open to laboratory technicians, design teams, and dental assistants.
In-Person CE
50 CE Hours • AGD PACE


Exclusive Savings
Partner hotels in Charleston with exclusive savings.
View Hotel Savings“The focused day-in and day-out practice and guidance of this course is unmatched.”
— Dr. Stephanie Rochelle
Full access to online courses, Faculty Insights, Study Club, and MOD AI — plus 10% off every in-person course.
or $3,999/year · 12-month commitment
Prerequisites
There are no pre-requisites for this course. Taking the included online course is recommended.
Technology Requirements
All technology for the course is provided by The MOD Institute. No previous training required.
Support
